device
名東区西山本通の歯医者「あさの歯科クリニック」では、
患者さまに信頼される歯科医院を目指して技術の研鑽を重ねることはもちろん、
充実した医療設備の導入や院内の感染予防に取り組んでいます。






水消毒システムの2つのシステムにより、
水路管内が常に衛生的な状態で保たれます。



当院では患者さまごとに医療器具の「洗浄・消毒・滅菌」を徹底しています。また、紙コップ・エプロン・注射針など可能な限り使い捨てを使用しております。そしてスタッフの手洗いやうがい、消毒を徹底し、細かな配慮で院内感染を予防します。

歯を削る機器「歯科用タービン」の使い回し問題は、過去に新聞にも取り上げられ話題になっています。当院では、上記の通り感染リスクを避けるため、患者さまごとに器具の滅菌・手袋の交換を行なっておりますのでご安心くださいませ。



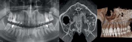
自由に設定できる撮影方法や領域によって、インプラントに重要な顎の骨の状態などを把握できます。また、3D(立体)による精密なシュミレーションや計画も可能なため、より正確なインプラント治療を実現します。







人間工学に基づいた、柔らかく心地よい素材のシートで、お子さまからお年寄りの方まで、全ての患者さまのお身体にフィットするよう設計されています。ストレスを感じさせないだけでなく、搭載されている水消毒機能で使用する水を常時清潔に保っています。
